News from the Chronicles - June 2024

How U.S. science and innovation are positioned to respond to rising global competition and shifting priorities for the nation’s economy, security, public health and well-being will be discussed at the first State of the Science address on June 26 in Washington, D.C. The State of the Science address will be followed by a panel discussion of seven eminent leaders from across academia, including J. Marshall Shepherd, associate dean for…
Over the course of the 2023-24 academic year, four departments in the Franklin College of Arts and Sciences took writing in their programs of study to the next level. In collaboration with the Franklin College Writing Intensive Program (WIP), the departments of anthropology, mathematics, history, and philosophy developed plans that articulate characteristics of writing in the discipline. These include desired writing abilities of students in the…
Nashville native Nakita Barakadyn's journey into the world of linguistics began with her curiosity about the origins of Japanese. “I became a linguist in the first place because I heard the tantalizing statement ‘Nobody knows where Japanese came from,’” she says. “I was a kid at the time, but now I understand they just meant that Japanese is a language isolate—it has no known relatives.” Encountering this linguistic mystery imbued with her a…
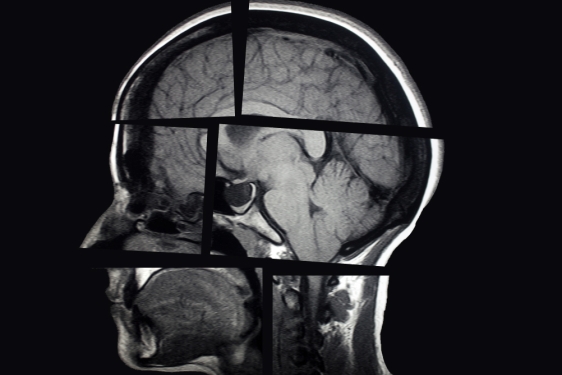
In a new study, UGA researchers analyzed survey responses and brain imaging data to assess how the part of the brain that detects threats and regulates emotions, known as the amygdala, reacts under conditions simulating the experience of racial discrimination. Results suggest some Black youth are internalizing racial discrimination, which may increase their rates of depression and anxiety: The analysis is part of a national study that followed…
University of Georgia senior Jordyn Faucette was one of 19 students across the nation to be awarded the Beinecke Scholarship this spring, UGA's third winner of the scholarship and its first since 2019. A first-generation college student and a McNair Scholar, Faucette is majoring in philosophy and English in the Franklin College of Arts and Sciences and political science in the School of Public and International Affairs. She is also working…
On “Freedom’s Eve,” or the eve of January 1, 1863, the first Watch Night services took place. On that night, enslaved and free African Americans gathered in churches and private homes all across the country awaiting news that the Emancipation Proclamation had taken effect. At the stroke of midnight, prayers were answered as all enslaved people in Confederate States were declared legally free. Union soldiers, many of whom were black, marched onto…
What began in 2004 as a relatively small group of researchers has since grown to include more than 40 members spanning seven colleges, including the College of Engineering, the College of Public Health, and the College of Pharmacy. Together, the scientists aim to tackle medical challenges and develop cures and treatments for devastating diseases like Parkinson’s, Alzheimer’s, and stroke. What is Regenerative Bioscience? You’re working in the…
UGA Trustee Becky Winkler believes everyone has a narrative. You just need to keep it pointed in the right direction. "My dad was a Jamaican immigrant and he taught me the secret to the meaning of life is it's all made up," Winkler said. "Raised by an immigrant, I was taught to question things that other people consider normal." The cogent advice has led Winkler (AB '98) to chart her own circuitous path that, in retrospect, appears rather direct…
Assistant professor of horn in the UGA Hugh Hodgson School of Music, James Naigus received the 2024 Michael F. Adams Early Career Scholar Award at the UGA Research Awards. Naigus recently sat down with our colleagues in UGA Research Communications and discussed his career as a performer and composer, his love for John Williams scores, and having the New York Philharmonic perform one of his pieces: What drew you to the horn? Because I’m a glutton…